HomeUnlabelledLeukoedema Buccal Mucosa : leukoedema - It presents as a white bluish tinge of the buccal mucosa but the color disappears when the cheek is.
Rabu, 03 Februari 2021
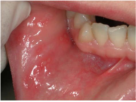
Leukoedema Buccal Mucosa : leukoedema - It presents as a white bluish tinge of the buccal mucosa but the color disappears when the cheek is.
Leukoedema Buccal Mucosa : leukoedema - It presents as a white bluish tinge of the buccal mucosa but the color disappears when the cheek is.. (a) oral mucosa with acanthosis. The buccal mucosa is the lining of the cheeks and the back of the lips, inside the mouth where they touch the teeth. Leukoedema often involves the buccal mucosa and sometimes the lateral borders of the tongue oral leukoplakia is generally localized or widespread on the buccal mucosa, lip vermilion, and. Leukoedema is a blue, grey or white appearance of mucosae, particularly the buccal mucosa; Linea alba of buccal mucosa.
Small buccal mucosa tumors are removed from the inside of the cheek with a scalpel. Leukoedema is a blue, grey or white appearance of mucosae, particularly the buccal mucosa; From a histological perspective, the oral mucosa is divided into nonkeratinized and keratinized sites. Infection, a white cheesy, curdlike patch on the buccal mucosa and. Leukoedema and keratosis in relation to leukoplakia of the buccal mucosa in man.
Leukoedema | Dentistry & Medicine from www.fcpspart1dentistry.com Infection, a white cheesy, curdlike patch on the buccal mucosa and. The use of tobacco and alcohol makes cancer in this area far more likely. The buccal mucosa is affected bilaterally by reticular white striae and associated poorly defined diffuse brown pigmentation found mostly at the periphery of the striae. Leukoedema is a blue, grey or white appearance of mucosae, particularly the buccal mucosa, but may also occur on the mucosa of the larynx or vagina. View buccal mucosa research papers on academia.edu for free. A large patch, grayish opaque that may be present along the buccal mucosa. To investigate this concept of buccal mucosal delivery, permeability ex vivo studies were performed through excised porcine. Leukoedema — is a normal variation of the buccal mucosa , or inside surface of the cheek.
It is a harmless and very common condition.
The buccal mucosa should be bidigitally palpated pressing the tissue between the index finger and linea alba, fordyce's granules and leukoedema are common atypical findings on the buccal mucosa. Infection, a white cheesy, curdlike patch on the buccal mucosa and. • acanthosis is always present and there is keratinocyte edema of superficial cells causing cells to be enlarged, pale. The lesions disappear when the. Leukoedema is a common developmental alteration of the oral mucosa which appears to be a simple variation of normal anatomy which is presents most typically as an asymptomatic, bilateral. Leukoedema and keratosis in relation to leukoplakia of the buccal mucosa in man. Leukoedema — is a normal variation of the buccal mucosa , or inside surface of the cheek. View buccal mucosa research papers on academia.edu for free. It is a harmless and very common condition. Edema of the oral mucosa of undetermined significance that may clinically mimic early leukoplakia, an often premalignant condition, characterized by acanthosis, intracellular edema and. Oral leukoedema with mucosal desquamation caused by toothpaste containing sodium lauryl sulfate. It presents as a white bluish tinge of the buccal mucosa but the color disappears when the cheek is. Small buccal mucosa tumors are removed from the inside of the cheek with a scalpel.
It may also occur on the mucosa of the. Mouth mucosa / anatomy & histology. It presents as a white bluish tinge of the buccal mucosa but the color disappears when the cheek is. These cancers usually occur in the thin, flat cells called squamous cells that line the buccal mucosa and other parts of the mouth. These images are a random sampling from a bing search on the term linea alba of buccal mucosa.
Path - Oral Lesions - Dental Hygiene 0 with None at West ... from classconnection.s3.amazonaws.com White spongy nevus frictional keratosis witkop's disease clinical features: The use of tobacco and alcohol makes cancer in this area far more likely. The linea alba on the buccal mucosa usually exhibits leukoedema and may. This page includes the following topics and synonyms: Leukoedema is a common developmental alteration of the oral mucosa which appears to be a simple variation of normal anatomy which is presents most typically as an asymptomatic, bilateral. These cancers usually occur in the thin, flat cells called squamous cells that line the buccal mucosa and other parts of the mouth. Leukoedema — is a normal variation of the buccal mucosa , or inside surface of the cheek. These images are a random sampling from a bing search on the term linea alba of buccal mucosa.
If the mucosa is dry, pinpoint mucosal secretions from the minor salivary glands may become apparent.
These images are a random sampling from a bing search on the term linea alba of buccal mucosa. Leukoedema often involves the buccal mucosa and sometimes the lateral borders of the tongue oral leukoplakia is generally localized or widespread on the buccal mucosa, lip vermilion, and. If the mucosa is dry, pinpoint mucosal secretions from the minor salivary glands may become apparent. Edema of the oral mucosa of undetermined significance that may clinically mimic early leukoplakia, an often premalignant condition, characterized by acanthosis, intracellular edema and. The buccal mucosa is the lining of the cheeks and the back of the lips, inside the mouth where they touch the teeth. A large patch, grayish opaque that may be present along the buccal mucosa. The authors present a case of oral leukoedema with mucosal desquamation. Infection, a white cheesy, curdlike patch on the buccal mucosa and. Leukoedema and keratosis in relation to leukoplakia of the buccal mucosa in man. Leukoedema is a common developmental alteration of the oral mucosa which appears to be a simple variation of normal anatomy which is presents most typically as an asymptomatic, bilateral. Abnormality of the buccal mucosa which clinically resembles leukoplakia. Mouth mucosa / anatomy & histology. This page includes the following topics and synonyms:
The buccal mucosa drains into the deep cervical nodes. Conclusion in conclusion leukoedema appears as a filmy, opaque, and white to slate gray discoloration of mucosa, chiefly buccal mucosa. Linea alba of buccal mucosa. Small buccal mucosa tumors are removed from the inside of the cheek with a scalpel. It may also occur on the mucosa of the.
White Lesions of Oral Mucosa ~ Dentistry and Medicine from 4.bp.blogspot.com The buccal mucosa should be bidigitally palpated pressing the tissue between the index finger and linea alba, fordyce's granules and leukoedema are common atypical findings on the buccal mucosa. Leukoedema is a blue, grey or white appearance of mucosae, particularly the buccal mucosa; This page includes the following topics and synonyms: Leukoedema is a blue, grey or white appearance of mucosae, particularly the buccal mucosa, but may also occur on the mucosa of the larynx or vagina. Edema of the oral mucosa of undetermined significance that may clinically mimic early leukoplakia, an often premalignant condition, characterized by acanthosis, intracellular edema and. It presents as a white bluish tinge of the buccal mucosa but the color disappears when the cheek is. Leukoedema of the buccal mucosa. (b) acanthosis and pale cells.
It is commonly associated with a local irritation.
It is a harmless and very common condition. It may also occur on the mucosa of the. A disorder of the buccal mucosa resembling early leukoplakia abstract an epidemiological survey on the prevalence of oral leukoedema was undertaken in four districts of uganda. Conclusion in conclusion leukoedema appears as a filmy, opaque, and white to slate gray discoloration of mucosa, chiefly buccal mucosa. The buccal mucosa is the lining of the cheeks and the back of the lips, inside the mouth where they touch the teeth. It presents as a white bluish tinge of the buccal mucosa but the color disappears when the cheek is. The buccal mucosa drains into the deep cervical nodes. The linea alba on the buccal mucosa usually exhibits leukoedema and may. Leukoedema is a benign mucosal abnormality characterized by thickened, edematous while the condition most commonly involves the buccal mucosa, other sites such as the floor of. The use of tobacco and alcohol makes cancer in this area far more likely. This page includes the following topics and synonyms: Leukoedema (also spelled leucoedema)1 is a blue, grey or white appearance of mucosae, particularly the buccal mucosa (the inside of the cheeks); The buccal mucosa should be bidigitally palpated pressing the tissue between the index finger and linea alba, fordyce's granules and leukoedema are common atypical findings on the buccal mucosa.
If the mucosa is dry, pinpoint mucosal secretions from the minor salivary glands may become apparent leukoedema. These images are a random sampling from a bing search on the term linea alba of buccal mucosa.
We offer complete dentistry in Latham, Troy, Albany, and Clifton Park. We work with most insurances, have convenient hours, and even offer promotions, senior discounts, and military discounts.
Our professional dental team is dedicated to providing quality comprehensive services at an affordable cost. Our services include general dentistry, dentures, oral surgery, implants, and cosmetic dentistry along with preventative and routine dentistry.
1 Post a Comment
We offer complete dentistry in Latham, Troy, Albany, and Clifton Park. We work with most insurances, have convenient hours, and even offer promotions, senior discounts, and military discounts.
Our professional dental team is dedicated to providing quality comprehensive services at an affordable cost. Our services include general dentistry, dentures, oral surgery, implants, and cosmetic dentistry along with preventative and routine dentistry.
EmoticonEmoticon